 |
Home ºñ»óÀå(Àå¿Ü) ´º½ºÁ¾ÇÕ |
|
|
| Á¦¸ñ : Áõ»óµµ ¾ø´Âµ¥¡¦¡®ÀÌ Áúȯ¡¯ µ¹¿¬»ç À§Çè±îÁö [e°Ç°~½ï]
|
 |
 |
 |
 |
|
|
| 2025³â 11¿ù 29ÀÏ 07:00 ÇѼºÁÖ ±âÀÚ |
| Áõ»óµµ ¾ø´Âµ¥¡¦¡®ÀÌ Áúȯ¡¯ µ¹¿¬»ç À§Çè±îÁö [e°Ç°~½ï] |
¡®°Ç°À» ÀÒ°í¼¾ß ºñ·Î¼Ò °Ç°ÀÇ ¼ÒÁßÇÔÀ» ¾È´Ù¡¯¶ó´Â ¸»ÀÌ ÀÖ½À´Ï´Ù. ÇູÇÏ°í °Ç°ÇÏ°Ô »ç´Â °Í¸¸Å ¼ÒÁßÇÑ °ÍÀº ¾ø´Ù´Â ÀǹÌÀÔ´Ï´Ù. ±¹³» ÀÇ·áÁø°ú ÇÔ²²ÇÏ´Â ¡®ÀÌÅõµ¥ÀÌ °Ç°~½ï(e°Ç°~½ï)¡¯À» ÅëÇØ ÀÏ»ó»ýȰ¿¡¼ ¾Ë¾ÆµÎ¸é µµ¿òÀÌ µÇ´Â ¾ËÂù °Ç°Á¤º¸¸¦ ¼Ò°³ÇÕ´Ï´Ù.

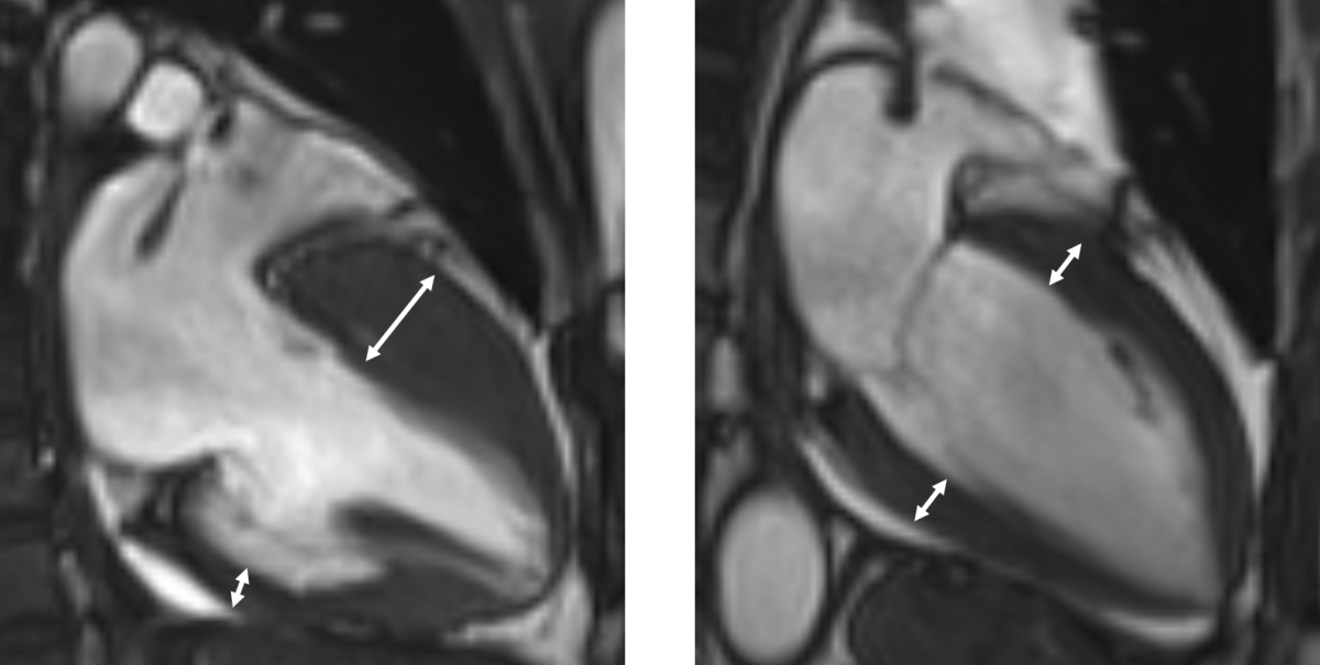
ºñÈļº ½É±Ùº´ÁõÀº ½ÉÀå±ÙÀ°(½É±Ù)ÀÌ ºñÁ¤»óÀûÀ¸·Î µÎ²¨¿öÁö´Â ÁúȯÀÌ´Ù. ½É±ÙÀÌ µÎ²¨¿öÁö¸é ±ÙÀ°ÀÇ ¼öÃà°ú ÀÌ¿ÏÀÌ ¿øÈ°ÇÏÁö ¾Ê¾Æ ºÎÁ¤¸ÆÀÌ ¹ß»ýÇϰí, ¶§·Î´Â Ä¡¸íÀû ºÎÁ¤¸ÆÀÌ ¹ß»ýÇØ µ¹¿¬»ç·Î À̾îÁú ¼ö ÀÖ¾î °¢º°ÇÑ ÁÖÀǰ¡ ÇÊ¿äÇÏ´Ù.
½É±ÙÀº ÀϹÝÀûÀ¸·Î ¼ö³â ÀÌ»ó °íÇ÷¾ÐÀ» Á¶ÀýÇÏÁö ¾Ê°í ¹æÄ¡ÇÒ ¶§ µÎ²¨¿öÁø´Ù. ½ÉÀå¿¡¼ Çǰ¡ ³ª°¡´Â Ãⱸ°¡ Á¼¾ÆÁö´Â ¡®´ëµ¿¸ÆÆÇÇùÂøÁõ¡¯ÀÌ ÀÖ´Â °æ¿ì¿¡µµ ½É±ÙÀÌ µÎ²¨¿öÁø´Ù. ½ÉÀåÀÌ Ç÷¾×À» ³»º¸³»±â À§ÇØ ´õ Å« ÈûÀ» ½á¾ß Çϰí, ±× °á°ú ±ÙÀ°ÀÌ ¹ß´ÞÇØ µÎ²¨¿öÁö´Â ¿ø¸®´Ù. ÇÏÁö¸¸ ºñÈļº ½É±Ùº´ÁõÀº Ưº°ÇÑ ÀÌÀ¯°¡ ¾ø°Å³ª, ƯÁ¤ÇÑ ÀÌÀ¯°¡ ÀÖ´õ¶óµµ ÃæºÐÈ÷ ¼³¸íÀÌ ¾È µÉ ¸¸Å Áö³ªÄ¡°Ô ½É±ÙÀÌ µÎ²¨¿öÁö´Â Ư¡À» º¸ÀδÙ.
29ÀÏ ÀÇ·á°è¿¡ µû¸£¸é ºñÈļº ½É±Ùº´ÁõÀº Àü ¼¼°è Àα¸ ¾à 500¸í Áß 1¸í²Ã·Î ³ªÅ¸³ª´Â °ÍÀ¸·Î ÆÄ¾ÇµÈ´Ù. °¡Àå ¹®Á¦°¡ µÇ´Â ÇÕº´ÁõÀº µ¹¿¬»ç´Ù. ºñÈļº ½É±Ùº´Áõ ȯÀÚ´Â µÎµå·¯Áö´Â Áõ»óÀÌ ¾ø´Â °æ¿ì°¡ ¸¹¾Æ, ¾Æ¹« ÀüÁ¶Áõ»ó ¾øÀÌ ½Ç½ÅÇϰųª ±Þ»çÇÔÀ¸·Î½á Áø´ÜµÇ±âµµ ÇÑ´Ù. ȯÀÚµéÀº °Ç° °ËÁø ÀÌÈÄ ½ÉÀüµµ, ½ÉÀåÃÊÀ½ÆÄ ÀÌ»óÀ¸·Î È®ÀεǴ °æ¿ì°¡ °¡Àå ¸¹°í, µ¹¿¬»çÀÇ °¡Á··Â¿¡ ´ëÇÑ °¡Á· °Ë»ç¸¦ ÅëÇØ ¾Ë°Ô µÇ´Â °æ¿ìµµ ÀÖ´Ù.
ºñÈļº ½É±Ùº´ÁõÀÇ ´ëÇ¥ÀûÀÎ ¿øÀÎÀº À¯ÀüÀÚ ÀÌ»óÀÌ´Ù. ½É±ÙÀÇ ¼öÃà¿¡ °ü¿©ÇÏ´Â ´Ü¹éÁú À¯ÀüÀÚ¿¡ µ¹¿¬º¯À̰¡ ÀÖ´Â °æ¿ì ³ªÅ¸³ª¸ç, ´ë°³ °¡Á··ÂÀ» µ¿¹ÝÇÑ´Ù. À¯ÀüÀÚ ÀÌ»óÀ̳ª °¡Á··ÂÀÌ È®ÀεÇÁö ¾Ê´Â ºñ°¡Á·¼º ȯÀÚµµ ÀûÁö ¾Ê´Ù.
Áø´ÜÀº ½ÉÀåÃÊÀ½ÆÄ, ÀÚ±â°ø¸í¿µ»ó µî ¿µ»ó°Ë»ç¸¦ ÅëÇØ ÀÌ·ïÁø´Ù. ºñÈÄµÈ ½É±Ù ³»¿¡ ¼¶À¯È°¡ ÁøÇàµÅ Àְųª, ±ÙÀ°Á¶Á÷ÀÌ Áö¹æÁ¶Á÷À¸·Î º¯¼ºÀÌ µÅ ÀÖ´Â »óŰ¡ °üÂûµÈ´Ù. ÇÏÁö¸¸ ÀÌ °°Àº Á¶Á÷º¯¼ºÀÌ ¾ø´Â ºñÈļº ½É±Ùº´Áõµµ ÀÖ´Â ¸¸Å Àü¹®ÀÇÀÇ Á¾ÇÕÀû ÆÇ´ÜÀÌ Áß¿äÇÏ´Ù.
ºñÈļº ½É±Ùº´ÁõÀÇ Ä¡·á ¸ñÇ¥´Â Áõ»óÀ» ÁÙÀÌ°í ½ÉºÎÀüÀ̳ª ±Þ»ç¿Í °°Àº ÇÕº´ÁõÀ» ¿¹¹æÇÏ´Â °ÍÀÌ´Ù. ´ëºÎºÐ ¾à¹°Ä¡·á¸¦ ÅëÇØ ½É¹Ú ¼ö¸¦ ³·Ãß°í ½É±Ù ÀÌ¿ÏÀ» ÃËÁøÇÏ´Â Ä¡·á·Î ½ÃÀÛÇÑ´Ù. ¾à¹°·Î Á¶ÀýÀÌ ¾È µÉ ¶§´Â µÎ²¨¿öÁø ½É±Ù ÀϺθ¦ ÀýÁ¦ÇØ Ç÷·ùÀÇ ±æÀ» È®º¸ÇÏ´Â ¼ö¼úÀû Ä¡·á°¡ ±Ç°íµÈ´Ù. ½É½ÇÁß°ÝÀÇ °ü»óµ¿¸Æ¿¡ ¾ËÄÚ¿Ã µîÀ» ÁÖÀÔÇØ ±ÙÀ°ÀÇ ºÎºÐÀû À§ÃàÀ» ÀÏÀ¸Å°´Â °üÇæÀû ½Ã¼úµµ °¡´ÉÇÏ´Ù.
À̽ÄÇü ½É½ÇÁ¦¼¼µ¿±â¸¦ ¿¹¹æÀûÀ¸·Î »ðÀÔÇϱ⵵ ÇÑ´Ù. ½Ç½ÅÀÇ º´·Â, µ¹¿¬»çÀÇ °¡Á··Â, ½É±Ù¼¶À¯È Á¤µµ, ½É½Çºó¸Æ À¯¹«, ½É±Ù ºñÈÄ Á¤µµ µîÀ» Á¡¼öÈÇØ µ¹¿¬»ç °¡´É¼ºÀÌ Å« ȯÀڵ鿡°Ô À̽ÄÇü ½É½ÇÁ¦¼¼µ¿±â°¡ °í·ÁµÈ´Ù. ºñÈļº ½É±Ùº´Áõ ȯÀÚ´Â ½É¹æ¼¼µ¿¡¤Çù½ÉÁõ °°Àº ÇÕº´ÁõÀÌ ÀÚÁÖ »ý±æ ¼ö ÀÖ¾î Áõ»óÀÌ ¾ø¾îµµ Á¤±â °Ë»ç¸¦ ÅëÇØ Á¶±â¿¡ ¹ß°ßÇϰí Áï½Ã Ä¡·á¹Þ´Â °ÍÀÌ Áß¿äÇÏ´Ù.
±è¿ëÇö °í·Á´ëÇб³ ¾È»êº´¿ø ¼øÈ¯±â³»°ú ±³¼ö´Â ¡°°³ÀÎ º´·ÂÀ̳ª °¡Á··Â µîÀ¸·Î °íÀ§Ç豺¿¡ ¼ÓÇÏ´Â ºñÈļº ½É±Ùº´Áõ ȯÀÚ´Â ºÎÁ¤¸ÆÀ¸·Î ÀÎÇÑ µ¹¿¬»çÀÇ À§ÇèÀÌ ÀÖÁö¸¸, ´ëºÎºÐ ȯÀÚ´Â ÀûÀýÇÑ °ü¸®¿Í Á¤±âÀûÀÎ °Ë»ç¸¦ ÅëÇØ ¾ÈÀüÇÏ°Ô ÀÏ»ó»ýȰÀ» À¯ÁöÇÒ ¼ö ÀÖ´Ù¡±¶ó¸ç ¡°°È±â, ¿ä°¡, °¡º¿î ÀÚÀü°Å Ÿ±â µî Àú~Áß°µµ ¿îµ¿Àº ¿ÀÈ÷·Á ½ÉÇ÷°ü °Ç°¿¡ µµ¿òÀÌ µÉ ¼ö ÀÖ´Ù¡±¶ó°í ¼³¸íÇß´Ù. ´Ù¸¸ ±×´Â ¡°ÃÖ´ë½É¹Ú¼öÀÇ 70%¸¦ ³Ñ´Â °í°µµ ¿îµ¿Àº ¾ÈÀü¼º¿¡ ´ëÇÑ ±Ù°Å°¡ ºÎÁ·ÇϹǷÎ, ¹Ýµå½Ã ÃæºÐÇÑ °Ë»ç¿Í »çÀü Æò°¡¸¦ °ÅÃÄ ´Ü°èÀûÀ¸·Î °µµ¸¦ ³ôÀÌ´Â °ÍÀÌ ¹Ù¶÷Á÷ÇÏ´Ù¡±¶ó°í °Á¶Çß´Ù.
ÀÌ¾î ±è ±³¼ö´Â ¡°ºñÈļº ½É±Ùº´ÁõÀº °íÀ§Ç豺ÀÇ °æ¿ì µ¹¿¬»ç·Î À̾îÁú ¼ö ÀÖ´Â ¸¸Å, °¡Á··ÂÀ̳ª ½Ç½Å º´·ÂÀÌ ÀÖ´Ù¸é Á¤±âÀûÀÎ °Ë»ç¸¦ ÅëÇØ Á¶±â¿¡ ¹ß°ßÇÏ°í °ü¸®ÇÏ´Â °ÍÀÌ Áß¿äÇÏ´Ù¡±¶ó¸ç ¡°µ¹¿¬»ç »óȲ¿¡ ´ëºñÇØ, º¸È£ÀÚµéÀº ½ÉÆó¼Ò»ý¼ú°ú ÀÚµ¿Á¦¼¼µ¿±â »ç¿ë¹ýÀ» ÀÍÇôµÎ´Â °ÍÀÌ Áß¿äÇÏ´Ù¡±¶ó°í ´çºÎÇß´Ù.
<ÀúÀÛ±ÇÀÚ ¨Ï ÀÌÅõµ¥ÀÌ ¹«´ÜÀüÀç/Àç¹èÆ÷ ±ÝÁö>
|
|
| |
|
|
|
Áõ»óµµ ¾ø´Âµ¥¡¦¡®ÀÌ Áúȯ¡¯ µ¹¿¬»ç À§Çè±îÁö [e°Ç°~½ï]
Àå¿Ü½ÃÀå,ºñ»óÀå½ÃÀå,Àå¿ÜÁÖ½Ä,ºñ»óÀåÁÖ½Ä,¼Ò¾×ÁÖÁÖ,ÁÖÁÖµ¿È£È¸,ÁÖÁÖ°Ô½ÃÆÇ,°ø¸ð,¼Ò¾×°ø¸ð,Àå¿Ü½ÃȲ,ºñ»óÀåÁֽĽü¼,ÁÖ½ÄÂ÷Æ®,ÁÖ°¡,ºñ»óÀåÁֽİŷ¡,½Ã¼¼Á¤º¸,ÇÁ¸®º¸µå,Àå¿Ü½ÃÀå,ÇÁ¸®º¸µå½ÃÀå,Àå¿ÜÁÖ½Ä,ÇÁ¸®º¸µåÁÖ½Ä,¼Ò¾×ÁÖÁÖ,ÁÖÁÖµ¿È£È¸,ÁÖÁÖ°Ô½ÃÆÇ,°ø¸ð,¼Ò¾×°ø¸ð,½ÃȲ,½Ã¼¼,ÁÖ½ÄÂ÷Æ®,ÁÖ°¡,3½ÃÀå,ÅõÀÚÀü·«,Á¾¸ñºÐ¼®,¼±¹°¿É¼Ç,ÇØ¿ÜÁõ½Ã,ÁֽĽü¼ µî Áõ±ÇÁ¤º¸,Áõ±ÇÁ¤º¸»çÀÌÆ®,Áõ±Ç½Ã¼¼,¼±¹°¿É¼Ç,ÁÖ°¡Á¤º¸,Á¾¸ñÅä·Ð,Àü¹®°¡,Å׸¶ÁÖ ºÐ¼®,ÃßõÁ¾¸ñ,À̽´,Á¾¸ñ´º½º,Â÷Æ®,½ÃȲÀü·«,ÁÖ½ÄÅõÀÚ,Áõ±Ç Àü¹® Æ÷ÅлçÀÌÆ®,ÀçÅ×Å©,ºÎµ¿»ê,â¾÷,Ä«Æä,ÁÖ½ÄÄ®·³,Áõ½Ãºê¸®ÇÎ,Áõ½ÃºÐ¼®,ÁÖ½ÄÅõÀÚÁ¤º¸,Áõ±ÇÅõÀÚÁ¤º¸,±ÝÀ¶Á¤º¸,Â÷Æ®ºÐ¼®,Áõ½ÃÀÏÁ¤,¼Ò¾×ÁÖÁÖ,Ä¿¹Â´ÏƼ,¸Å¸Å,Áֽİŷ¡,¿Â¶óÀÎÁõ±Ç,Á¾¸ñÃßÀü
ÁÖ½Ä,ÆÝµå,Áõ½ÃÀü¸Á,ÅõÀÚÆ÷ÅÐ »çÀÌÆ®,À繫ºÐ¼®,Áֽİø¸ð,Áõ½ÃÀÏÁ¤,Áõ±Ç»ç,ÄÚ½ºÇÇ,ÄÚ½º´Ú,³ª½º´Ú,°Å·¡¼Ò,Äڳؽº,Á¦3ÁֽĽÃÀå,ÁÖ°¡Áö¼ö,¹Ì±¹Áõ½Ã,ÀϺ»Áõ½Ã,¾Æ½Ã¾ÆÁõ½Ã,KOSDAQ,KOSPI,KONEX,KOSCOM,»ï¼ºsds,Àå¿ÜÅõÀÚ
|
|
|