 |
Home ºñ»óÀå(Àå¿Ü) ´º½ºÁ¾ÇÕ |
|
|
| Á¦¸ñ : ¼Èñ¿øÀÇ ºñ±ØÀÌ ³²±ä °æ°í¡¦"ÀÌ º´" ÀÖÀ¸¸é Æó·Å À§Çè ÃÖ´ë 12.5¹è
|
 |
 |
 |
 |
|
|
| 2026³â 02¿ù 11ÀÏ 17:45 Á¤½É±³ ±âÀÚ |
| ¼Èñ¿øÀÇ ºñ±ØÀÌ ³²±ä °æ°í¡¦"ÀÌ º´" ÀÖÀ¸¸é Æó·Å À§Çè ÃÖ´ë 12.5¹è |
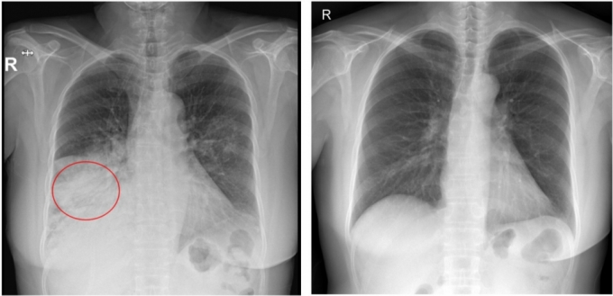
Áßȱǿ¡¼ Å« »ç¶ûÀ» ¹Þ¾Ò´ø ¹è¿ìÀÌÀÚ °¡¼ö ±¸ÁØ¿±ÀÇ ¾Æ³» °í(ͺ)¼Èñ¿øÀÇ »ç¸Á ¿øÀÎÀÌ ÃÖ±Ù ´Ù½Ã ÁÖ¸ñ¹Þ´Â´Ù. ¼Èñ¿øÀº ¾à 1³â Àü µ¶°¨À» ¾Î´Ù°¡ Æó·ÅÀ¸·Î »ç¸ÁÇÑ °ÍÀ¸·Î ¾Ë·ÁÁ³´Ù. ±âÀúÁúȯÀ» ¾Î´ø »óÅ¿¡¼ Æó·ÅÀÌ ¹ß»ýÇØ ÁúȯÀÌ ´õ Ä¡¸íÀûÀ¸·Î ÁøÇàÇßÀ» °¡´É¼ºÀÌ Á¦±âµÆ´Ù. Àü¹®°¡µéÀº °í·ÉÃþ°ú ±âÀúÁúȯÀÚÀÇ °æ¿ì Æó·Å À§ÇèÀÌ Å©°Ô ³ô¾ÆÁö´Â ¸¸Å, ¿¹¹æÁ¢Á¾À» Æ÷ÇÔÇÑ »çÀü °ü¸®°¡ ÇʼöÀûÀ̶ó°í °Á¶ÇÑ´Ù.

¦¬
°í·ÉÀ̰ųª ¸¸¼ºÁúȯ ÀÖÀ¸¸é Æó·Å »ç¸Á·ü ÃÖ´ë 12.5¹è
¦¬
Æó·ÅÀº 2024³â ±âÁØ ±¹³» »ç¸Á¿øÀÎ 3À§ÀÌÀÚ È£Èí°èÅë Áúȯ »ç¸Á¿øÀÎ 1À§¸¦ ±â·ÏÇÒ Á¤µµ·Î Ä¡¸íÀûÀÎ ÁúȯÀÌ´Ù. ƯÈ÷ ±¹³» Æó·Å ȯÀÚ´Â 2021³â 51¸¸ ¸í¿¡¼ 2024³â 188¸¸¸íÀ¸·Î ¾à 3.7¹è Áõ°¡ÇÏ¸ç ºü¸£°Ô È®»êÇÏ´Â Ãß¼¼¸¦ º¸ÀδÙ.
Æó·ÅÀÇ ÁÖ¿ä ¹ßº´ ¿äÀÎÀº °í·É(65¼¼ ÀÌ»ó)°ú ¸¸¼º ½ÉÁúȯ, °£Áúȯ, ´ç´¢ µî°ú °°Àº ¸¸¼ºÁúȯÀÌ´Ù. ƯÈ÷ ±¹³»¿¡¼´Â ³ëÀΰú ±âÀúÁúȯÀÌ Àִ ȯÀÚÀÇ Áúº´ ºÎ´ãÀÌ »ó´ëÀûÀ¸·Î ³ô°í, »ç¸Á·ü°úµµ »ó´çÇÑ °ü°è°¡ ÀÖ´Â °ÍÀ¸·Î ³ªÅ¸³µ´Ù.
2006~2010³â ÀǷẸÇè û±¸ ÀڷḦ Ȱ¿ëÇÑ ÈÄÇâÀû ÄÚȣƮ ¿¬±¸¿¡ µû¸£¸é 50~64¼¼ ´ç´¢º´ ȯÀÚÀÇ Æó·Å±¸±Õ Æó·Å ¹ßº´ À§ÇèÀÌ °Ç°ÇÑ ¼ºÀκ¸´Ù ÃÖ´ë 3¹è, ¸¸¼º ½ÉÀåÁúȯÀÌ ÀÖÀ¸¸é 4.2¹è, ¸¸¼º ÆóÁúȯÀÌ ÀÖÀ¸¸é 9.8¹è±îÁö ³ô¾ÆÁö´Â °ÍÀ¸·Î È®ÀεƴÙ. ¶Ç ÀϺ»¿¡¼ 19¼¼ ÀÌ»ó ¼ºÀÎÀÇ ÀǷẸÇè û±¸ ÀڷḦ Ȱ¿ëÇÑ ¿¬±¸ °á°ú¿¡ µû¸£¸é ¾Ï ȯÀÚÀÇ Æó·Å ¹ßº´ À§ÇèÀÌ °Ç°ÇÑ ¼ºÀκ¸´Ù 12.5¹è ´õ ³ô¾Ò´Ù.
±âÀúÁúȯÀÚ´Â Æó·Å ¹ßº´ ½Ã »ç¸Á À§Çèµµ Å©°Ô ³ô¾ÆÁø´Ù. 2015³â Æ÷¸£Åõ°¥¿¡¼ Æó·ÅÀ¸·Î ÀÔ¿øÇÑ ¼ºÀΠȯÀÚ¸¦ ´ë»óÀ¸·Î ÇÑ ÈÄÇâÀû ºÐ¼® ¿¬±¸¸¦ ÁøÇàÇß´õ´Ï ¸¸¼º ½ÅÁúȯ, Æó¾Ï, ÀüÀ̼º ¾Ï, ¿îµ¿±â´É Àå¾Ö, Ä¡¸Å, ³úÇ÷°ü Áúȯ, ÇãÇ÷ ½ÉÁúȯ µîÀ» µ¿¹ÝÇÑ È¯ÀÚ´Â Æó·ÅÀ¸·Î »ç¸ÁÇÒ À§ÇèÀÌ ´õ ³ô¾Ò´Ù. µ¿¹Ý ÁúȯÀº À¯Çü¡¤¿øÀο¡ °ü°è¾øÀÌ, ÀÔ¿ø Áß Æó·ÅÀ¸·Î »ç¸ÁÇÒ À§ÇèÀ» °áÁ¤ÀûÀ¸·Î Áõ°¡½ÃŰ´Â ¿äÀÎÀ¸·Î ÀÛ¿ëÇÑ´Ù.
±èÀç¿ Á߾Ӵ뺴¿ø È£Èí±â¾Ë·¹¸£±â³»°ú ±³¼ö´Â "ÀÓ»ó ÇöÀå¿¡¼ ±âÀúÁúȯÀ» °¡Áø Æó·Å ȯÀÚÀÇ ¿¹ÈÄ´Â ±âÀúÁúȯÀÌ ¾øÀ» ¶§¿Í È®¿¬È÷ ´Ù¸£´Ù"¸ç "°Ç°ÇÑ »ç¶÷¿¡¼´Â °¨±âó·³ Áö³ª°¥ ¼ö ÀÖÁö¸¸, ½ÉÀ塤Æó¡¤ÄáÆÏ ±â´ÉÀÌ ¶³¾îÁø ȯÀÚÀÇ °æ¿ì, Æó·ÅÀ¸·Î ÀÎÇÑ Àü½Å ¿°Áõ ¹ÝÀÀ µîÀ¸·Î ±Þ°ÝÈ÷ ¾ÇÈÇÏ´Â °æ¿ì°¡ ¸¹´Ù"°í ¼³¸íÇß´Ù.

¦¬
°¨¿°ÇÐȸ, ¸¸¼ºÁúȯÀÚ Æó·Å±¸±Õ ´Ü¹éÁ¢ÇÕ¹é½Å Á¢Á¾ ±Ç°í
¦¬
ÀÌó·³ ±âÀúÁúȯÀÚ¿¡°Ô Æó·ÅÀÌ Ä¡¸íÀûÀÎ ¸¸Å, Æó·ÅÀº Ä¡·áº¸´Ù ¿¹¹æÀÌ ´õ Áß¿äÇÑ ÁúȯÀ¸·Î ²ÅÈù´Ù. ƯÈ÷ ¼ºÀÎ ¼¼±Õ¼º Æó·ÅÀÇ °¡Àå Å« ¿øÀαÕÀÎ 'Æó·Å±¸±Õ'À» ¸·À¸·Á¸é ¹é½Å Á¢Á¾ÀÌ °¡Àå È¿°úÀûÀÌ´Ù. ÇöÀç ¿ì¸®³ª¶ó´Â ±¹°¡¿¹¹æÁ¢Á¾»ç¾÷(NIP)À¸·Î ¼ºÀο¡°Ô Æó·Å±¸±Õ ´Ù´çÁú¹é½ÅÀ» Á¢Á¾ÇÏÁö¸¸, ¼ºÀο¡¼ Æó·Å±¸±ÕÀ¸·Î ÀÎÇÑ Æó·ÅÀº ²ÙÁØÈ÷ ´Ã°í ÀÖ´Ù.
ÀÌ¿¡ ´ëÇѰ¨¿°ÇÐȸ´Â 65¼¼ ÀÌ»ó ¼ºÀλӸ¸ ¾Æ´Ï¶ó 19~64¼¼ÀÇ ¸¸¼ºÁúȯÀÚ, ¸é¿ª ÀúÇÏ È¯ÀÚ¶ó¸é ¡â20°¡ Æó·Å±¸±Õ ´Ü¹éÁ¢ÇÕ¹é½Å(PCV20) 1ȸ Á¢Á¾ ¶Ç´Â ¡â15°¡ ´Ü¹éÁ¢ÇÕ¹é½Å(PCV15)°ú 23°¡ ´Ù´çÁú¹é½Å(PPSV23)ÀÇ ¼øÂ÷ Á¢Á¾À» ±Ç°íÇß´Ù.
»õ·Ó°Ô µµÀÔµÈ 20°¡ ´Ü¹éÁ¢ÇÕ¹é½Å(ÇÁ¸®º£³ª20)Àº Áö¿ª»çȸ¿¡¼ ȹµæÇÑ Æó·Å¿¡ ´ëÇØ ÁøÇàÇÑ ÀÓ»ó ¿¬±¸ °á°ú¸¦ ±Ù°Å·Î ¿¹¹æ È¿°ú¸¦ È®ÀÎÇÑ 13°¡ ´Ü¹éÁ¢ÇÕ¹é½ÅÀ» ±â¹ÝÀ¸·Î °³¹ßµÆ´Ù. ¹Ì±¹ 65¼¼ ÀÌ»ó ¼ºÀÎÀ» ´ë»óÀ¸·Î ÁøÇàµÈ ½ÇÁ¦ ÀÓ»ó ±Ù°Å(RWE) ¿¬±¸¸¦ ÅëÇØ ħ½À¼º Æó·Å±¸±Õ Áúȯ(IPD)°ú ¸ðµç ¿øÀÎÀ¸·Î ÀÎÇÑ Æó·Å¿¡ ´ëÇÑ ¿¹¹æ È¿°ú¸¦ È®ÀÎÇß´Ù.
±èÀç¿ ±³¼ö´Â "Æó·ÅÀº Àß Ä¡·áÇÏ´Â °Íµµ Áß¿äÇÏÁö¸¸, Æó·Å¿¡ °É¸®Áö ¾Êµµ·Ï ¼±Á¦ÀûÀ¸·Î ¹æ¾îÇÏ´Â °Íµµ Áß¿äÇÏ´Ù"¸ç "´ëÇѰ¨¿°ÇÐȸ µî °¨¿° Àü¹®ÀǵéÀÌ 20°¡ ´Ü¹éÁ¢ÇÕ¹é½Å Á¢Á¾À» ±Ç°íÇÏ´Â ÀÌÀ¯´Â, ´Ü¼øÈ÷ Æó·Å±¸±Õ °¨¿°À» ¿¹¹æÇÏ´Â °ÍÀ» ³Ñ¾î ÁßÁõÈ¿Í »ç¸Á À§ÇèÀ» ³·Ãß´Â È¿°ú°¡ ´õ È®½ÇÇϱ⠶§¹®"À̶ó°í °Á¶Çß´Ù.
¶Ç "¹é½ÅÀ» ¼±ÅÃÇÒ ¶© ´Ü¼øÈ÷ Ç÷ûÇü °³¼ö»Ó ¾Æ´Ï¶ó ½ÇÁ¦ ÀÓ»ó ÇöÀå¿¡¼ ¾ó¸¶³ª ¿À·£ ±â°£ °ËÁõµÈ µ¥ÀÌÅͰ¡ ÃàÀûµÅ ÀÖ´ÂÁöµµ Áß¿äÇÑ ÆÇ´Ü ±âÁØ"À̶ó¸ç "ÀÌ·± Á¡À» °í·ÁÇßÀ» ¶§ 20°¡ ´Ü¹éÁ¢ÇÕ¹é½ÅÀº ±âÁ¸ 13°¡ ¹é½ÅÀÇ ÀÓ»ó °æÇè°ú µ¥ÀÌÅ͸¦ ±â¹ÝÀ¸·Î °³¹ßµÅ ½Å·ÚÇÒ ¼ö ÀÖ´Â ¿¹¹æ¹ýÀ¸·Î ²ÅÈù´Ù"°í ¼³¸íÇß´Ù.
Á¤½É±³ ±âÀÚ simkyo@mt.co.kr
Copyright ¨Ï ¸Ó´ÏÅõµ¥ÀÌ & mt.co.kr. ¹«´Ü ÀüÀç ¹× Àç¹èÆ÷, AIÇнÀ ÀÌ¿ë ±ÝÁö.
|
|
| |
|
|
|
¼Èñ¿øÀÇ ºñ±ØÀÌ ³²±ä °æ°í¡¦"ÀÌ º´" ÀÖÀ¸¸é Æó·Å À§Çè ÃÖ´ë 12.5¹è
Àå¿Ü½ÃÀå,ºñ»óÀå½ÃÀå,Àå¿ÜÁÖ½Ä,ºñ»óÀåÁÖ½Ä,¼Ò¾×ÁÖÁÖ,ÁÖÁÖµ¿È£È¸,ÁÖÁÖ°Ô½ÃÆÇ,°ø¸ð,¼Ò¾×°ø¸ð,Àå¿Ü½ÃȲ,ºñ»óÀåÁֽĽü¼,ÁÖ½ÄÂ÷Æ®,ÁÖ°¡,ºñ»óÀåÁֽİŷ¡,½Ã¼¼Á¤º¸,ÇÁ¸®º¸µå,Àå¿Ü½ÃÀå,ÇÁ¸®º¸µå½ÃÀå,Àå¿ÜÁÖ½Ä,ÇÁ¸®º¸µåÁÖ½Ä,¼Ò¾×ÁÖÁÖ,ÁÖÁÖµ¿È£È¸,ÁÖÁÖ°Ô½ÃÆÇ,°ø¸ð,¼Ò¾×°ø¸ð,½ÃȲ,½Ã¼¼,ÁÖ½ÄÂ÷Æ®,ÁÖ°¡,3½ÃÀå,ÅõÀÚÀü·«,Á¾¸ñºÐ¼®,¼±¹°¿É¼Ç,ÇØ¿ÜÁõ½Ã,ÁֽĽü¼ µî Áõ±ÇÁ¤º¸,Áõ±ÇÁ¤º¸»çÀÌÆ®,Áõ±Ç½Ã¼¼,¼±¹°¿É¼Ç,ÁÖ°¡Á¤º¸,Á¾¸ñÅä·Ð,Àü¹®°¡,Å׸¶ÁÖ ºÐ¼®,ÃßõÁ¾¸ñ,À̽´,Á¾¸ñ´º½º,Â÷Æ®,½ÃȲÀü·«,ÁÖ½ÄÅõÀÚ,Áõ±Ç Àü¹® Æ÷ÅлçÀÌÆ®,ÀçÅ×Å©,ºÎµ¿»ê,â¾÷,Ä«Æä,ÁÖ½ÄÄ®·³,Áõ½Ãºê¸®ÇÎ,Áõ½ÃºÐ¼®,ÁÖ½ÄÅõÀÚÁ¤º¸,Áõ±ÇÅõÀÚÁ¤º¸,±ÝÀ¶Á¤º¸,Â÷Æ®ºÐ¼®,Áõ½ÃÀÏÁ¤,¼Ò¾×ÁÖÁÖ,Ä¿¹Â´ÏƼ,¸Å¸Å,Áֽİŷ¡,¿Â¶óÀÎÁõ±Ç,Á¾¸ñÃßÀü
ÁÖ½Ä,ÆÝµå,Áõ½ÃÀü¸Á,ÅõÀÚÆ÷ÅÐ »çÀÌÆ®,À繫ºÐ¼®,Áֽİø¸ð,Áõ½ÃÀÏÁ¤,Áõ±Ç»ç,ÄÚ½ºÇÇ,ÄÚ½º´Ú,³ª½º´Ú,°Å·¡¼Ò,Äڳؽº,Á¦3ÁֽĽÃÀå,ÁÖ°¡Áö¼ö,¹Ì±¹Áõ½Ã,ÀϺ»Áõ½Ã,¾Æ½Ã¾ÆÁõ½Ã,KOSDAQ,KOSPI,KONEX,KOSCOM,»ï¼ºsds,Àå¿ÜÅõÀÚ
|
|
|